Soy enfermera de cardiología y negué los síntomas de mi infarto durante casi una semana
He trabajado durante seis años en la unidad cardíaca del Rose Medical Center de Denver. Como enfermera registrada cardiovascular (CVRN), he atendido a personas de todas las edades, tamaños, etnias y orígenes que han tenido dolor en el pecho y ataques al corazón. Sé que los problemas cardíacos se presentan de muchas formas, y que a veces son predecibles y a veces son sorprendentes. Sé exactamente cuáles son las señales de advertencia, por lo que he puesto los ojos en blanco ante personas que entran en el servicio de urgencias informando de un dolor en el pecho que lleva dos días. ¿Por qué iba alguien a arriesgar su vida retrasando el tratamiento?
Entonces me convertí en una de esas personas. Y dejé que la mía durara seis días.
Dr. Michael Wahl, cardiólogo del Centro Médico Rose: "300.000 personas al año mueren de muerte súbita cardíaca en casa. Así que tienen síntomas repentinos o síntomas que no reconocieron".
Concursante de Miss América aparece vestida de enfermera y este es su discurso Una enfermera despedida por hacerse selfies con pacientes moribundosSábado a la 1 de la madrugada: inicio de los síntomas
Un sábado de febrero de 2018, me desperté en medio de la noche con un dolor sordo y ardiente que se irradiaba por mi brazo izquierdo. Supuse que había dormido mal -solo tenía 47 años y estaba en forma-, así que me recolocó en la cama e intentó dormir. Pero el dolor no desapareció. Así que caminé un poco y le di un bocadillo al gato, y el dolor seguía ahí. También me sentía sudorosa y con náuseas.
Los cuatro principales síntomas del infarto en las mujeres
- Dolor en el pecho
- Dolor o molestia en uno o ambos brazos
- Dificultad para respirar
- Sudoración, náuseas
Sí, Jennifer experimentaba tres de los cuatro.
Sean, el enfermero encargado de mi unidad esa noche, llevaba 20 años trabajando; si mi corazón se paraba, él era el hombre que lo volvía a poner en marcha. Le llamé al hospital a las 3 de la madrugada, le conté mis síntomas y le pregunté, medio en broma, si creía que estaba sufriendo un infarto. Con su estilo directo, dijo: "Bueno, no suena bien. Me dirigí al cuarto de baño para comprobarlo. No estaba pálido, estaba blanco. Tal vez incluso un poco gris. Fue entonces cuando el pánico se apoderó de mí. Lo cual es malo para la presión arterial, por cierto. Me tomé una aspirina y me dirigí al servicio de urgencias de mi hospital.
? Si tienes algún síntoma de infarto, debes evitar conducir y llamar al 911.
Me sentía como en casa y confiaba en mis compañeros, así que el pánico empezó a remitir. Además, el electrocardiograma era perfectamente normal y mi ritmo cardíaco era hermoso. El pánico disminuyó un poco más. Mis niveles de troponina -una enzima que señala el daño al músculo cardíaco- también eran normales. El pánico pronto fue sustituido por el aburrimiento: Tuve que quedarme unas horas para hacer más análisis de sangre, pero en ese momento supe que era una falsa alarma. Dormí.
La enfermera de día, Kellie, apareció en un par de horas para comprobar de nuevo mis niveles de troponina. Nos reímos de lo excesivamente precavidas que eran las enfermeras. Cuando terminó, me quité todas las pegatinas del electrocardiograma, me vestí y estaba prácticamente en el aparcamiento cuando llegó la segunda lectura de troponina. Ahora mis niveles eran ligeramente elevados. Me ingresaron en mi propia unidad cardíaca. Habían pasado unas cuatro horas desde que el dolor del brazo y las náuseas me habían despertado, así que decidí que era hora de llamar a El Novio. Estaba claramente irritado porque había esperado tanto tiempo para ponerme en contacto con él.
Lance Harlan (El Novio): "La idea no dejaba de rondar por mi cabeza: Por fin he encontrado una mujer a la que quiero, y se me va a caer encima".
Pero bueno, no le había llamado antes porque no quería preocuparle por nada. Se reunió conmigo en el hospital, preocupado y exasperado a partes iguales.
Mi primer médico estaba convencido de que mis cifras de troponina apenas superiores a las normales eran un falso positivo. Mi dolor de brazo era probablemente un nervio pinzado. Después de todo, no tenía ningún factor de riesgo: hacía ejercicio con regularidad, mis cifras de colesterol eran excelentes, mi índice de masa corporal era bajo y delgado, y no tenía antecedentes familiares de enfermedades cardíacas. Así que era una víctima de un ataque al corazón perfectamente sana, con todos los motivos para retrasar, dudar y, tal vez, morir.
Heather Harris, directora de los servicios cardiovasculares del Centro Médico Rose -superior, amiga y mentora de Jennifer-: " Vemos a mucha gente que ha estado esperando a que el dolor de pecho desaparezca por sí solo. Y todo ese tiempo sus corazones no están recibiendo suficiente sangre. El tiempo es el músculo. Cuanto más rápido recibas el tratamiento, más podrás salvar".
Mi médico me dijo: "Haremos otro ciclo de troponina, le haremos una prueba de esfuerzo en una cinta rodante esta tarde y le sacaremos de aquí antes de que se ponga el sol". Todo eso me parecía bien... hasta que la siguiente troponina salió aún más elevada. Cancelaron mi prueba de esfuerzo -no era necesario provocar un infarto- y me reservaron una noche en el hospital.
Lance y yo estuvimos sentados matando el tiempo durante casi toda la tarde. No permití ninguna otra visita: No quería que mi personal me viera toda vestida como una paciente, especialmente una que experimentaba lo que yo creía que era un falso positivo masivo. Pasé una noche sin síntomas, disfrutando de unas minivacaciones forzadas aunque fuera en una habitación de hospital.
William Widmer 1 p.m. del domingo: 36 horas desde el inicio de los síntomasEl domingo superé la prueba de esfuerzo y me dieron el alta, por fin. Pero todavía había preocupaciones. El médico que me dio el alta dijo que no había una buena razón para mi dolor y mis troponinas elevadas (es decir, aparte de la que yo mismo me había convencido: Que estaba teniendo un ataque al corazón, tal vez incluso en ese momento).
Dr. Wahl: "La mayoría de los infartos dañan el corazón en 12 horas. Por eso intentamos hacer las cosas tan rápido en cardiología. Las arterias del corazón de Jen probablemente se abrieron y cerraron en el transcurso de los días anteriores. Así que durante esas 36 horas, podría haber tenido un ataque al corazón de forma intermitente".
1 a.m. Miércoles: 96 horas desde el comienzo de los síntomasEn su lugar, me reafirmé en la teoría de los nervios pellizcados. Es mucho más tranquilizadora que la teoría del infarto de miocardio. Dormí sin ganas durante cuatro horas, luego me arrastré fuera de la cama y me fui a trabajar. Era el día de San Valentín, ya sabes, la fiesta en la que todo gira en torno al corazón. Le comenté a Heather que volvía a sentirme mal y me sugirió que pidiera una cita de seguimiento con mi médico de cabecera y que quizás reservara un masaje.
Dr. Wahl: "La fracción de eyección [FE] es el porcentaje de sangre que se bombea con cada latido. Si el corazón es normal, debería bombear alrededor del 60% de la sangre con cada latido. Más adelante en su tratamiento, cuando comprobamos la FE de Jennifer, era de alrededor del 45%. Eso puede hacer que te veas y te sientas como en el infierno".
Programé una cita con mi médico de cabecera para la mañana siguiente y otra con mi masajista para el sábado. Me tomé un ibuprofeno, con un efecto mínimo. Fui a las reuniones y ayudé a las enfermeras de la planta, mientras luchaba por recuperar el aliento y me sentía inquieta.
Heather Harris, mentora: "Todos queremos pensar en las razones por las que esto no puede ser un ataque al corazón. No quieres estar enfermo. Pero si algo no te parece bien, haz que te revisen. Sólo se puede tener suerte un número determinado de veces".
Hacia la 1:30, sentí que ya había tenido suficiente. Le dije a la enfermera encargada que me iba temprano. Pero entonces un paciente se cayó. Y había una familia infeliz a la que tenía que visitar. Y ayudé a resolver algunos problemas de personal. Cuando me subí al coche para volver a casa, eran las 4:00.
❗Repite: ¡No conduzcas un coche cuando tengas síntomas de infarto!
Tomé más ibuprofeno cuando llegué a casa, intenté hacer algunos estiramientos, hice rodar el omóplato sobre una pelota de tenis en busca de alivio. Nada. Me di un baño caliente, me tomé más ibuprofeno y me metí en la cama. Todavía no hay alivio.
1 de la mañana del jueves: 120 horas desde el inicio de los síntomasNunca había experimentado un dolor de este tipo. Cuando se trata de un tirón muscular o de un nervio pinzado, los analgésicos de venta libre suelen aliviar el dolor y permiten adoptar una posición cómoda en la cama y dormir. Esta vez no. Sea cual sea la posición, el dolor ardiente e inquietante estaba ahí. Como el ibuprofeno no me ayudó, probé con el paracetamol. (Sí, las enfermeras también juegan al bingo de los analgésicos.) Me hice un ovillo y dormí durante unas tres horas. Cuando me desperté, el dolor se había alejado del brazo y el hombro izquierdos y se había instalado justo debajo del pecho izquierdo: directamente sobre el corazón.
El jueves por la mañana me levanté temprano y estuve en el trabajo, en realidad por la única razón de que sentía la necesidad de seguir moviéndome y estar rodeado de gente. Llegué a la planta de cardiología sobre las 6:45. Le dije a Heather que aún me sentía mal. ¿Dónde estás? me mandó un mensaje. En la planta de mi despacho, respondí. La única forma en que podía sentirme remotamente cómodo era tumbado con el brazo izquierdo sobre la cabeza. Heather me ordenó que fuera directamente a urgencias. No, respondí, estaré bien.
Finalmente, llegaron las 9:30 y me dirigí a la consulta de mi médico para mi cita. Ella pudo ver lo incómodo que estaba. Me repitió el nivel de troponina, me hizo un electrocardiograma y pidió una radiografía del cuello y un ecocardiograma ambulatorio. Supongo que el electrocardiograma fue normal, porque me enviaron de vuelta.
Bajé al vestíbulo para reservar la ecografía, pero no le dije a la programadora que me dolía el pecho en ese momento, así que la reservó para dentro de tres semanas. Me encogí de hombros y volví al trabajo.
Mientras tanto, Heather no se creía mi negativa. Le pidió a Jeff, uno de nuestros técnicos de ecografía, que se saltara su almuerzo y me hiciera la prueba. Hablamos con tranquilidad durante todo el examen, señalando esto y aquello, como un guía turístico. Pero en un momento dado se quedó callado. Finalmente, rompió el silencio y dijo: "Espero que encontremos algo, porque al menos tendrás una explicación para el dolor".
William Widmer El Dr. Wahl me llamó en 30 minutos y me pidió que me reuniera con él para revisar los resultados. Me mostró las imágenes de la ecografía y utilizó palabras que yo conocía demasiado bien: "anormalidad en el movimiento de la pared" (mal funcionamiento de la pared del corazón causado por la muerte del tejido muscular); "disminución de la fracción de eyección" (fallo de la bomba cardíaca); "cardiomiopatía" (enfermedad del músculo cardíaco). Estos términos tan conocidos adquirieron de repente un nuevo y terrible significado cuando se utilizaron para describir mi corazón.
Mencionó algunos diagnósticos posibles: la cardiomiopatía de takotsubo, una debilidad temporal del músculo cardíaco relacionada con el estrés; un virus; o (una posibilidad remota) la disección espontánea de la arteria coronaria, también conocida como SCAD. Esta última era la causa de muerte de mujeres relativamente jóvenes y sanas (como yo). Ese no podía ser mi diagnóstico.
El Dr. Wahl me dijo que entraría inmediatamente en el laboratorio de cateterismo cardíaco, donde se diagnostican y tratan las obstrucciones arteriales. Su sentido de urgencia controlada me dijo todo lo que necesitaba saber. Dijo que me daría unos minutos para procesar y hacer llamadas telefónicas. Primer paso: Llorar por teléfono mientras hablaba con Lance y luego con mis padres, a 1.700 millas de distancia en Nueva Jersey.
1 p.m. Jueves: 132 horas desde el inicio de los síntomas - comienza el tratamientoLas cosas empezaron a moverse muy rápido. En el laboratorio de cateterismo, tres enfermeras se abalanzaron sobre mí. Una me puso una vía intravenosa, otra me sacó sangre para hacer más pruebas de laboratorio y otra empezó a afeitarme la ingle para poder meterme un catéter por la arteria femoral. Heather entró corriendo y me dio una aspirina para masticar. Amargo, ¿verdad? Al igual que este giro de los acontecimientos en mi vida por lo demás saludable.
Un estudio realizado en Texas descubrió que la aspirina masticada llega al torrente sanguíneo siete minutos antes que la aspirina ingerida, lo que favorece el flujo sanguíneo y tal vez salva el tejido cardíaco que de otro modo moriría.
"Dios mío", le dije a Heather. "¿Creen que estoy teniendo un ataque al corazón?"
"Sí", dijo, como si le hubiera preguntado si podíamos comer pizza.
Por primera vez, me di cuenta de que podría no sobrevivir a esto. Pero todos en el laboratorio de cateterismo seguían diciendo: "Te tenemos, Jen, te tenemos".
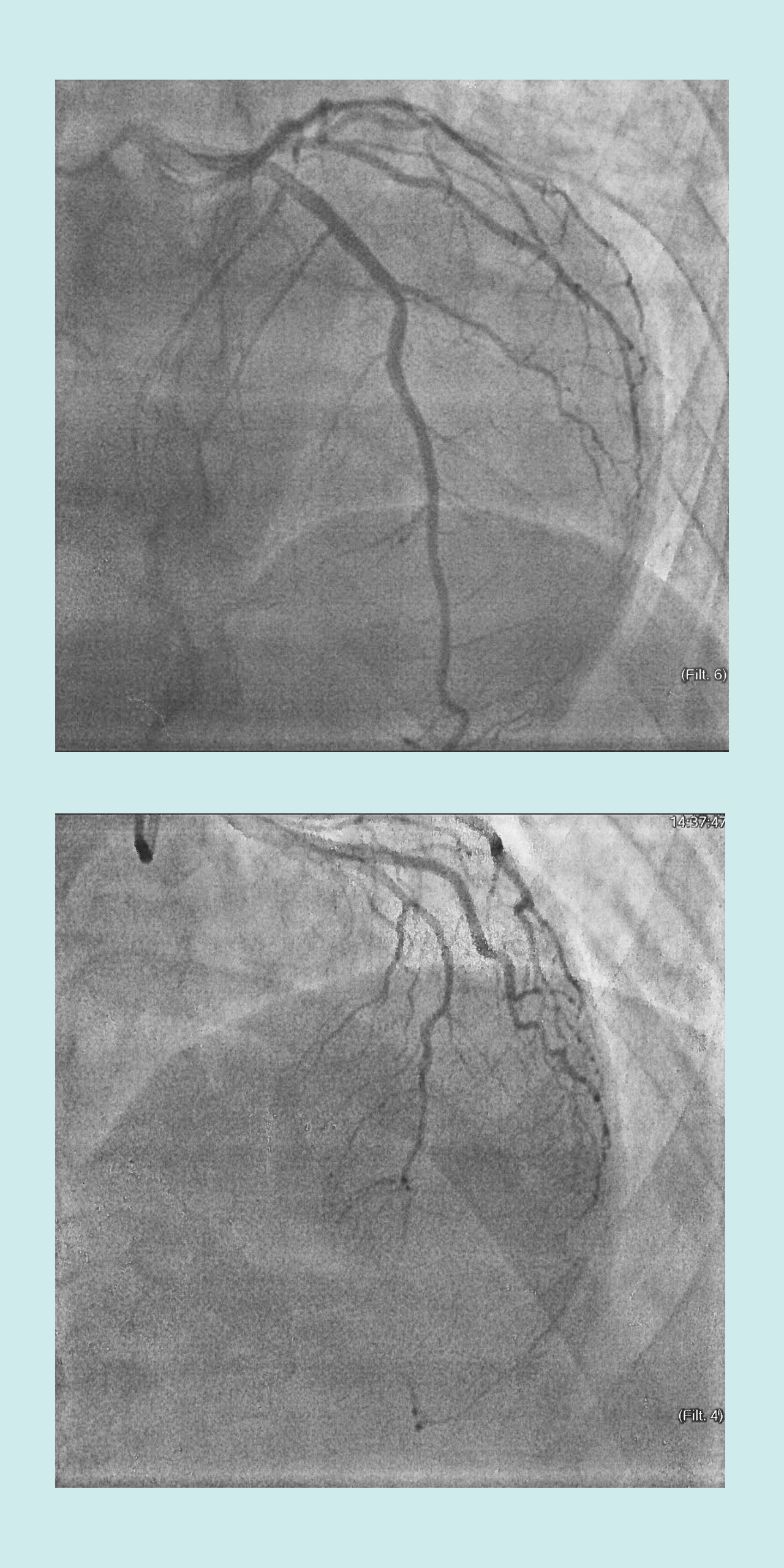
Cortesía de Jennifer Gaydosh Cuando el Dr. Wahl vio mis vasos sanguíneos durante la angiografía -en la que se inyecta un tinte en las arterias y se ve el flujo sanguíneo mediante rayos X- supo que tenía problemas. Llamó a dos de sus colegas y Heather se unió a ellos.
Al ver las imágenes de mi corazón enfermo, Heather preguntó: "¿Dónde está su DAI?" Se refería a la arteria descendente anterior de mi corazón, que suministraba sangre al ventrículo izquierdo, la bomba. Si se pierde ese flujo sanguíneo, es probable que se pierda la vida, por lo que se llama a la arteria descendente izquierda "la hacedora de viudas".
Uno de los médicos dijo: "Creo que se ha ido".
El diagnóstico era, de hecho, SCAD, exactamente lo que me había preocupado. Las fibras musculares de mi DAI se habían roto, bloqueando la arteria como una bandera aspirada sobre una toma de aire. Se había formado un coágulo y el flujo sanguíneo se había detenido. Yo también lo habría hecho, si no fuera porque mi brillante y fuerte corazón había empezado a formar una circulación colateral -vías alternativas a través de vasos sanguíneos más pequeños- para mantener vivo mi músculo cardíaco. Los atletas desarrollan la circulación colateral durante el estrés del ejercicio, o puede ocurrir espontáneamente durante un ataque al corazón. En cualquier caso, podría haberme salvado la vida.
Novio Lance Harlan: "A menos que estés en el mundo de la medicina, no te das cuenta de lo inteligente que es el corazón. Básicamente, le dijo a Jennifer: 'No puedo hacer mi camino por esta autopista,voy a hacer una nueva autopista para llegar allí'. Su corazón se arregló solo. En otras palabras, tuvo suerte".
Me culpo por haber desestimado mis síntomas y por haber evitado el tratamiento, pero también debería atribuirme el mérito de lo que estaba haciendo bien. Había estado fortaleciendo mis músculos cardíacos con el ejercicio, elevando regularmente mi ritmo cardíaco a 160 latidos por minuto en la clase de Spinning, y puede ser por eso que esos vasos sanguíneos colaterales estaban disponibles. Mi membresía en el gimnasio vale tanto la pena.
Normalmente, cuando hay una obstrucción arterial, el cardiólogo introduce un globo, mediante un catéter, para abrir la arteria, y luego apuntala la apertura con un tubo de malla llamado stent. Pero en el caso del SCAD, la arteria es vulnerable a una mayor destrucción, y la irrupción de un globo y un stent puede cerrar más secciones de la misma. Como mi arteria estaba cerrada en una parte más pequeña, optamos por no realizar ningún tratamiento quirúrgico. El Dr. Wahl me recetó el anticoagulante coumadin y una aspirina infantil todos los días para mantener abiertas mis colaterales vitales y evitar nuevos problemas tras la lesión de mi corazón. Los medicamentos me mantienen en marcha ahora que mi DAI no puede.
Soy el caso de libro de texto de la EAC: mujer, de 42 a 53 años, con pocos factores de riesgo cardíaco. Nadie sabe por qué entre el 80% y el 90% de las víctimas de la enfermedad son mujeres. Podrían ser las hormonas, o las arterias enroscadas, o la inflamación, o la genética. Pero los síntomas son claros como el agua: molestias en el pecho, falta de aire, náuseas, mareos. (Estarás atento a ellos, ¿verdad? No los expliques como lo hice yo). Y todos esos síntomas se complicaron con un caso avanzado de procrastinación.
Pero eso es lo que hacen las mujeres. Pensamos, a menos que tenga sangre saliendo de la arteria en mi cuello, estoy bien. No puedo estar enferma. Mis hijos me necesitan. Mis compañeros de trabajo me necesitan. No quiero molestar a ninguna de las personas en mi vida.
Después, en la sala de recuperación, le dije a Lance: "Podría haber muerto". Él me contestó: "Pero si lo hubieras hecho, estarías muerto y ni siquiera lo sabrías. Y yo sería la que estaría sufriendo".
William Widmer Heather Harris: "Las mujeres, sobre todo, no reconocen los síntomas de un ataque al corazón. No tienen el clásico 'elefante sentado en el pecho', como los hombres. Simplemente no se sienten bien. Les molestan los hombros o les duele la espalda. Y luego está la sensación de negación: Tengo demasiadas cosas que hacer para tener un ataque al corazón ahora mismo".
Mis entrenamientos para fortalecer el corazón pueden haberme salvado. Pero además de fortalecer los músculos del corazón con ejercicios, no hagas lo que yo hice. No te convenzas de que tus síntomas no son "nada", ni te preocupes por parecer una reina del drama en la sala de urgencias. No te preocupes por incomodar a la gente, ni por dejar el trabajo antes de tiempo, ni por lo que puedan pensar tu novio, tu marido, tu jefe, tus hijos o tus padres.
No esperes. Vive.
Nota: Todas las fotos fueron tomadas antes de la pandemia de COVID-19.
De: Prevention US
