barra head

Sexual

La historia de la muñeca sexual humana
BARBIE GIRL!
Así que nada, os presentamos a victoria wild, muñeca sexual humana y orgullosa de serlo... la tetona letona victoria wild es la llamada muñeca...
Dos adolescentes revolucionan la educación sexual de Canadá
NUEVAS FEMINISTAS
Estas jóvenes, con solo 13 años, ya lo tienen bien claro: toca renovar la educación sexual... estas dos adolescentes se han propuesto cambiar...
Acoso sexual en Mercadona
LAS EMPLEADAS HAN SIDO INDEMNIZADAS
Mercadona tiene que indemnizar a varias empleadas que sufrieron acoso sexual en el supermercado... tras denunciar a josé chaparro, la audiencia provincial...
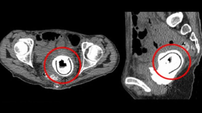
¡Encuentra un juguete sexual en su vagina diez años después!
SIN FONDO
Una mujer ha encontrado un juguete sexual en su vagina... el juguete sexual tuvo que retirarse mediante cirugía y hoy en día la mujer ya figura en...
Matt Bomer en Ladrón de Guante Blanco
QUÉ CALOR
El proyecto de cincuenta sombras de grey no habrá salido, pero él se ha ganado una atención extra por parte de todas nosotras, y no somos las...
¿Qué es la terapia sexual?
¿PARA QUIÉN ES BUENA Y NECESARIA?
La terapia sexual puede ayudar con una variedad de problemas... sin embargo, tu terapeuta sexual no se avergonzará de ello: es su trabajo...
¿Cuál es tu 'coeficiente sexual'?
INTELIGENCIA SEXUAL
La educación sexual es fundamental... ¿sabías que la inteligencia sexual también se mide? te damos 3 consejos para mejorar tu coeficiente...
Este vídeo sobre el tráfico sexual infantil te helará la sangre
TRÁFICO SEXUAL INFANTIL
Love146 es una organización que lucha contra el tráfico sexual infantil en el sudeste asiático... cuando veas el vídeo de love146 sobre...
La postura del 69 está muy bien pero... ¿has oído hablar del 68?
¿LA MEJOR POSTURA SEXUAL?
El 68, la postura sexual que necesitas conocer ahora... ¿probarás la postura sexual del 68 en tus próximos encuentros sexuales?...
El muñeco sexual de Justin Bieber que puedes comprar en AliExpress
POR SOLO... 1.000 EUROS
Dólares en convertirse en una muñeca sexual... eso sí, es un muñeco sexual de calidad, de ahí que valga 1...